Мітка: невідкладне медичне втручання
«Інсульт вимагає невідкладного медичного втручання»: Олександр Шиш директор департаменту охорони здоров’я Вінниці
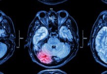
Щороку жертвами інсульту стають понад 100 тисяч українців, третина з яких – молодше 65 років. В Україні, у порівнянні з країнами Європи, не лише...

